İletişim

Adres: Fulya mah. Büyükdere cad. 74/A No: 33. Torun Center Mecidiyeköy. 34394 (Eski Ali Sami Yen Stadı Yeri)

Telefon: 0535 642 07 73

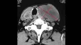
  • Papiller tiroid kanserinin az diferansiye kansere dönüşümü
    Papiller tiroid kanserinin az diferansiye kansere dönüşümü
  • Papiller tiroid kanserinin az diferansiye kansere dönüşümü
    Papiller tiroid kanserinin az diferansiye kansere dönüşümü
  • Papiller tiroid kanserinin az diferansiye kansere dönüşümü
    Papiller tiroid kanserinin az diferansiye kansere dönüşümü
  • Papiller tiroid kanserinin az diferansiye kansere dönüşümü
    Papiller tiroid kanserinin az diferansiye kansere dönüşümü
  • Papiller tiroid kanserinin az diferansiye kansere dönüşümü
    Papiller tiroid kanserinin az diferansiye kansere dönüşümü
  • Papiller tiroid kanserinin az diferansiye kansere dönüşümü
    Papiller tiroid kanserinin az diferansiye kansere dönüşümü